Cirurgia Torácica / Thoracic Surgery - Dr. Alexandre Avino

Imagens e videos de Cirurgia Torácica / General Thoracic Surgery images & videos

domingo, agosto 08, 2010

Massa cervical/Cervical tumor






Postado por Alexandre Avino às 8.8.10 Nenhum comentário:
Enviar por e-mailPostar no blog!Compartilhar no XCompartilhar no FacebookCompartilhar com o Pinterest
Marcadores: head and neck primary tumor, Linfadenectomia cervical, Linfoma, Tumor cervical

sexta-feira, agosto 06, 2010

Toracotomia de ressuscitação/Penetrating thoracic trauma

Postado por Alexandre Avino às 6.8.10 Nenhum comentário:
Enviar por e-mailPostar no blog!Compartilhar no XCompartilhar no FacebookCompartilhar com o Pinterest
Marcadores: adrenalina intra-cardíaca, ferimento arma branca, knife wound, massagem cardíaca interna, stab wound, thoracic trauma, toracotomia de ressuscitação, trauma, trauma torácico

terça-feira, agosto 03, 2010

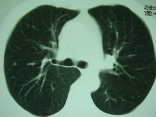
Metástases pulmonares bilaterais - neoplasia de cólon / Bilateral lung metastases - colon neoplasm











Postado por Alexandre Avino às 3.8.10 Nenhum comentário:
Enviar por e-mailPostar no blog!Compartilhar no XCompartilhar no FacebookCompartilhar com o Pinterest
Marcadores: colon cancer, colon neoplasm, Lung, metastases, metástases, metástases pulmonares, pulmão, pulmonary metastasis
Postagens mais recentes Postagens mais antigas Página inicial
Assinar: Comentários (Atom)

Quem sou eu

Minha foto
Alexandre Avino
Médico, Cirurgião Geral e Torácico
Ver meu perfil completo

Links

  • Dr. Alexandre Avino
  • Anátomo-Fisiologia
  • Tórax Open 2005

Arquivo do blog

  • ►  2012 (4)
    • ►  maio (4)
  • ►  2011 (10)
    • ►  março (4)
    • ►  fevereiro (4)
    • ►  janeiro (2)
  • ▼  2010 (25)
    • ►  dezembro (2)
    • ►  outubro (1)
    • ▼  agosto (3)
      • Massa cervical/Cervical tumor
      • Toracotomia de ressuscitação/Penetrating thoracic ...
      • Metástases pulmonares bilaterais - neoplasia de có...
    • ►  julho (5)
    • ►  junho (9)
    • ►  maio (5)
  • ►  2009 (19)
    • ►  setembro (3)
    • ►  julho (16)
  • ►  2008 (29)
    • ►  setembro (5)
    • ►  julho (4)
    • ►  junho (12)
    • ►  maio (8)
  • ►  2007 (5)
    • ►  maio (4)
    • ►  janeiro (1)
  • ►  2006 (11)
    • ►  dezembro (1)
    • ►  julho (4)
    • ►  junho (4)
    • ►  abril (2)
  • ►  2005 (58)
    • ►  novembro (10)
    • ►  outubro (2)
    • ►  setembro (9)
    • ►  agosto (29)
    • ►  julho (8)

Bem-vindo

Welcome

Marcadores

  • Lung
  • Pleura
  • chest wall
  • diafragma
  • esophagus
  • esôfago
  • hiperidrose
  • hyperidrosis
  • lobectomia videotoracoscópica
  • mediastino
  • mediastinum
  • parede torácica
  • pulmão
  • rigid bronchoscopy
  • simpatectomia
  • trachea
  • traquéia
  • trauma
  • videothoracoscopic lobectomy
  • videothoracoscopy
  • videotoracoscopia

Postagens populares

  • Carcinoma epidermóide ulcerado de esôfago
  • Pneumotórax secundário unilateral esquerdo; abordagem bilateral
    Pneumotórax secundário esquerdo. Abordagem simultânea bilateral por bolhas à direita (TC). Toracotomias axilares videoassistidas.
  • CASO 25 - PLEUROSTOMIA
    Eventualmente ainda temos que realizar drenagem aberta!
  • Subescapular Giant Lipoma
  • Pectus carinatum

Total de visualizações de página

Tema Janela de imagem. Imagens de tema por lucato. Tecnologia do Blogger.